Aralıklı diş (diastema) tedavisinde kompozit bonding, estetik dolgu, lamina ve kaplama seçenekleri. Hangi yöntem kim için uygun? Tüm detaylar burada.
Bir insanın en dikkat çekici bölgelerinden biri gözleri, diğeri ise gülüşüdür. Gülerken dişlerimizin arasında boşluklar olması çoğu zaman estetik açıdan rahatsız edici olabilir. Bu yazımızda ayrık diş tedavisi yani diastema kapatma yöntemlerini, özellikle de kompozit bonding, estetik diş dolgusu, kompozit lamina ve porselen uygulamaları gibi seçenekleri detaylı şekilde ele alıyoruz.
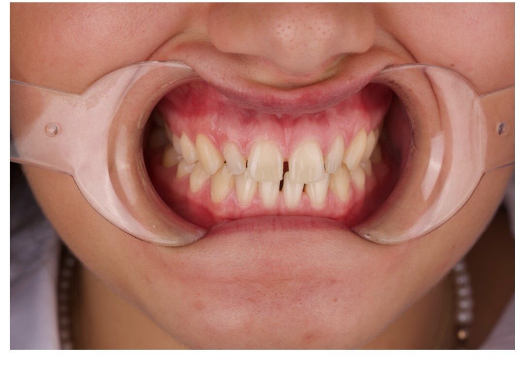
Ayrık Diş Tedavisi: https://www.instagram.com/reel/DGusrnpNbTo/?igsh=MW15YTI1cGsxd3I1NA%3D%3D
Aralıklı Diş Oluşmasının Nedenleri
Genetik Faktörler
Bazı bireylerde büyük çene ve küçük diş yapısı genetik olarak aktarılır. Bu durum, dişler arasında aralıkların (diastema) oluşmasına neden olabilir.
Dişeti Hastalıkları
İlerlemiş dişeti rahatsızlıklarında, dişi çevreleyen çene kemiğinde erimeler meydana gelir.
Diş Kaybı Sonrası Boşluklar
Çekilen ya da kırılan bir diş yerine tedavi yapılmazsa, komşu dişler boşluğa kayar.
Parmak Emme Alışkanlığı
Çocukluk döneminde parmak emme alışkanlığı, ön dişlerde öne doğru hareketle birlikte aralanmalara yol açabilir.
Yutkunma Problemleri
Yetişkin yutkunmasına geçememiş bireylerde, dilin ön dişlere baskısı sonucu da dişlerde boşluklar görülebilir.
Ayrık Diş (Diastema) Nasıl Tedavi Edilir?
Ortodontik Tedavi (Tel veya Şeffaf Plaklar)
Diş ve kemik yapısı uygunsa, dişler arasında aralıkları kapatmanın en ideal yolu ortodontik tedavidir. Tel ya da şeffaf plaklarla dişler, çene üzerinde doğal pozisyonlarına getirilerek aralıklar giderilir.
Kompozit Bonding (Kompozit Lamina)
Bonding tedavisi, en sık tercih edilen, hızlı ve etkili bir diastema kapama yöntemidir. Diş yüzeyine herhangi bir aşındırma yapılmadan, ışıkla sertleşen estetik dolgu materyali (kompozit) eklenerek boşluklar kapatılır.
Bonding Nedir? https://www.instagram.com/reel/DFKMXAPtFzk/?igsh=NTBuYjN5ajZob2Vh
Avantajları:
– Tek seansta uygulanır.
– Diş başına yaklaşık 1 saat sürer.
– Ağrısız ve koruyucu bir işlemdir.
– Geri dönüşü mümkündür.
– Renk uyumu doğaldır.
Porselen Laminalar
Daha kalıcı ve estetik bir çözüm arayanlar için porselen lamina ideal bir seçenektir. Dişin sadece ön yüzeyinden çok az bir aşındırma yapılır ve laboratuvar ortamında kişiye özel üretim sağlanır.
Porselen Lamina Tedavisi Hakkında Ayrıntılar: https://www.youtube.com/watch?v=m38GsQKO9pI&t=6s
Kaplama (Zirkonyum ve Emax)
Dişler arasında geniş boşluklar varsa, kanal tedavili veya zayıf dişler söz konusuysa, zirkonyum ya da emax kaplama tercih edilir.
Lamina mı Zirkonyum mu? Hangisi sizin için uygun? :https://www.youtube.com/watch?v=puBAamBbs9k&t=106s
Diastema (Aralıklı Diş) Tedavisi Hakkında Merak Ettikleriniz
Eğer sizin de dişleriniz arasında boşluk varsa ve hangi tedavinin size uygun olduğunu öğrenmek istiyorsanız, yorumlara yazabilir veya doğrudan bizimle iletişime geçebilirsiniz. Sağlıklı gülüşler dileriz!
